Willkommen in der Zahn Zauberei – Ihrem Kinderzahnarzt in Mühldorf
Angst beim Zahnarzt? Nicht bei uns! In der Zahn Zauberei in Mühldorf erleben Kinder ihren Zahnarztbesuch mit Spaß, Vertrauen und einem Lächeln. Mit kleinen Zaubertricks, spielerischen Ablenkungstechniken, Lachgas und modernen Medien schaffen wir eine Umgebung, in der Kinder sich wohlfühlen und aktiv in die Behandlung einbezogen werden. So haben wir die Aufmerksamkeit Ihres Kindes auf unserer Seite und können sie sanft und sicher behandeln. Ihr Kind wird stolz darauf sein, selbst mitgeholfen zu haben und Eltern staunen oft, wie mutig und entspannt ihre Kleinen plötzlich sind.
Unsere Kinderzahnarztpraxis in Mühldorf ist auf die Behandlung von Kindern und Jugendlichen spezialisiert. Wir setzen auf moderne, sanfte Behandlungsmethoden und begleiten Kinder vom ersten Milchzahn bis zum bleibenden Gebiss. Als erfahrene Kinderzahnärztinnen wissen wir genau, wie eine möglichst schmerz- und angstfreie Behandlung gelingt, auch bei Kindern, die bereits schlechte Erfahrungen beim Zahnarzt gemacht haben.


Unsere Kinderzahnarztpraxis
„Mit Spaß und Freude beim Zahnarzt“
Unsere Praxis für Kinderzahnheilkunde ist ganz auf die Bedürfnisse junger Patientinnen und Patienten ausgerichtet. Mit modernster Ausstattung, viel Einfühlungsvermögen und einem separaten Narkosezentrum schaffen wir die besten Voraussetzungen für einen entspannten und angstfreien Zahnarztbesuch.


Sanfte Behandlungen in der Kinderzahnheilkunde
- Professionelle Zahnreinigung für Kinder & Jugendliche
- Fissurenversiegelung zum Schutz der Backenzähne
- Behandlung von Milchzahnkaries
- Milchzahnendodontie & Milchzahnkronen
- Zahnputzschulungen und individuelle Prophylaxeprogramme
- Ritualisierte Verhaltensführung für angstfreie Besuche
- Lachgasbehandlung zur sanften Beruhigung
- Narkosebehandlung in Zusammenarbeit mit einem erfahrenen Kinder-Anästhesisten in unserem separaten Narkosetrakt
- Beratung für Eltern rund um Zahnpflege & Zahnentwicklung

„Spaß und ohne Angst beim Zahnarzt“
Gerne können Sie ein ausführliches und individuelles Beratungsgespräch in der Zahn Zauberei vereinbaren.
Infos & Formulare für Ihren Termin beim Kinderzahnarzt
-
Elterninfo – Vorbereitung auf den (ersten) Zahnarztbesuch
Wie soll ich mein Kind auf den ersten Zahnarztbesuch vorbereiten? – Möglichst wenig! Denn bei uns ist der erste Besuch ein reines Kennenlernen. Dabei erklären wir ihrem Kind jeden Schritt und besprechen dann mit Ihnen den weiteren Behandlungsablauf. Vor allem wenn Sie selbst Angst vor dem Zahnarztbesuch haben, werden sie diese auch bei gut gemeinten Erläuterungen auf ihr Kind übertragen.
Vermeiden Sie Verneinungen bzw. beruhigend gemeinte Formulierungen wie "das tut nicht weh, du brauchst keine Angst haben, du bekommst keine Spritze" sondern verwenden sie Worte wie "heute werden deine Zähne gezählt und saubergekitzelt und es wird ein bisschen gezaubert". Ganz wichtig: Loben, loben, loben!
Kinder sind von Natur aus neugierig und freuen sich auf neue Erfahrungen. Es ist ratsam, wenn das Behandlungsteam schrittweise vorgeht, um Ihr Kind behutsam in die Behandlungssituation einzuführen.
Haben Sie bitte Geduld, auch wenn sich eine Behandlung einmal über mehrere Sitzungen erstrecken sollte. Eine erfolgversprechende Behandlung wird durch eine gute Zusammenarbeit zwischen Eltern und Zahnarzt gefördert. Wir bitten Sie daher, während der Behandlung im Hintergrund zu bleiben. Ihre Anwesenheit im Behandlungszimmer ist selbstverständlich willkommen.
Tabuworte, die auf keinen Fall verwendet werden sollten, sind:
Spritze, weh, Angst, Zahn ziehen, bohren, Bohrer
- Anamnesebogen
-
WaizmannTabelle
Kinder-Zahnzusatzversicherung: www.waizmanntabelle.de/kinder
-
Überweiser
Sehr geehrte Kolleginnen und Kollegen,
mein Team und ich lieben die Kinderzahnheilkunde!
Die Behandlung eines unkooperativen Kindes kann sehr schnell den Praxisablauf durcheinander bringen. Dies kostet Nerven, Zeit und somit auch Geld. Durch Überweisung der "interessanten" Kinder haben Sie die Möglichkeit, sich auf Ihre eigenen Schwerpunkte zu konzentrieren. Wenn Sie nur eine explizite Behandlung wünschen – wie z.B. die Extraktion eines Zahnes unter Lachgassedierung oder eine komplette Sanierung des kariösen Gebisses in Intubationsnarkose – wird der Patient anschließend zur Weiterbehandlung zu Ihnen zurücküberwiesen. Wenn Sie die zahnärztliche Betreuung eines Kindes bis zum Abschluss des Zahnwechsels (bis einschließlich zum 17.Lebensjahr) in unsere Hände geben wollen, so werden Sie später einen zahngesunden Heranwachsenden ohne Behandlungsangst in Ihren Patientenstamm wiederaufnehmen können – zumindest, wenn's nach uns geht!
Als zertifizierte Spezialpraxis haben wir die Möglichkeit auch sehr kleine oder unkooperative Kinder hochwertig zu versorgen. Mit Elementen aus der Kinderhypnose, Anwendung von Lachgas, tiefer Sedierung und Allgemeinanästhesie stehen uns alle Mittel zur Verfügung, um moderne Kinderzahnheilkunde unter optimalen Bedingungen und in hoher Qualität zu erbringen.
Unser Behandlungsspektrum reicht von der halbjährlichen Kontrolluntersuchung und Individualprophylaxe über die Kariestherapie bis hin zur Versorgung bei frühzeitigem Zahnverlust. Hierbei sind Milchzahnendodontie, konfektionierte Stahlkronen, Platzhalter oder auch Kinderprothesen übliche therapeutische Maßnahmen. Im Vordergrund steht dabei immer, die Kooperationsbereitschaft der Kinder zu erzielen bzw. zu erhalten.
Profitieren Sie von den Besonderheiten unserer Kinderzahnarztpraxis:
- kindgerechte Einrichtung
- Desensibilisierungsphase
- Anwendung von Kinderhypnose/Konfusionstechniken
- Lachgassedierung
- Narkosebehandlung (wöchentliche Narkosen in Zusammenarbeit mit erfahrenen Anästhesisten)
- digitales strahlungsarmes Röntgen (intraoral und OPG)
Diese Techniken ermöglichen uns, die Therapie individuell auf jedes Kind abzustimmen und kurzfristig auf den Behandlungsverlauf Einfluss zu nehmen. Eine einfühlsame und kindgerechte Behandlung ist mit einem erheblichen Zeit- und Betreuungsaufwand verbunden, der über das Maß der notwendigen und wirtschaftlichen Versorgung nach § 12 SBG V hinausgeht. Die Kosten dafür, wie auch für die Behandlung unter Lachgas werden von den gesetzlichen Krankenkassen und evtl. von der privaten Zusatzversicherung nicht übernommen. Die Aufklärung der Eltern über eventuell anfallende Kosten erfolgt selbstverständlich vor der Behandlung.

Neuigkeiten
-
![Zahnzauberei Postings Zahnzauberei Postings]()
14.11.2023
Zahnkronen für die Milchzähne?
„Zahnkronen sind doch nur etwas für Erwachsene?!“ – so denken viele. Allerdings gibt es spezielle Kronen zur Versorgung der Milchzähne im Backenzahnbereich. Dr. Anita Pfaffeneder von der Zahn Zauberei in Mühldorf a. Inn erklärt, wann Milchzahnkronen zum Einsatz kommen und welche Vorteile sie bieten. -
![15 15]()
12.09.2023
Kinderzahnpflege: Sollte ich eine fluoridhaltige Zahnpasta verwenden?
Fluorid hemmt das Wachstum von Bakterien, macht den Zahnschmelz widerstandsfähiger, schützt vor Säuren und damit vor Karies. Allerdings kommt es wie in vielen anderen Bereichen des Lebens auch bei Fluorid auf die richtige Menge an: Wenn die Zähne mit einer fluoridhaltigen Zahncreme geputzt werden und das Kind zudem Fluoridtabletten einnimmt, kann das dem Zahnschmelz sogar schaden. Kinderzahnärztin Dr. Anita Pfaffeneder bringt Licht ins Dunkel. -
![Zahnungsprobleme bei Kinder Zahnungsprobleme bei Kinder]()
30.07.2023
Zahnungsprobleme: Mit diesen 5 Tipps können Sie Ihrem Kind helfen
Wenn die kleinen Milchzähnchen durch den Kiefer hindurchbrechen, sind Babys und Kleinkinder oft von Schmerzen geplagt und unruhig. Das Zahnfleisch kann geschwollen sein, die Wangen heiß gerötet und oft speichelt das Kind stark. Auch Fieber, Durchfall und ein geröteter Popo sind keine Seltenheit. -
![Erster termin beim Kinderzahnarzt Erster termin beim Kinderzahnarzt]()
29.05.2023
Das erste Mal mit Kind beim Zahnarzt
Je früher Kinder den Zahnarztbesuch kennenlernen, desto selbstverständlicher gehört er für sie dazu. Der erste Termin zum Kennenlernen empfiehlt sich schon ab dem ersten Milchzahn. -
![Zahnzauberei Postings Zahnzauberei Postings]()
24.03.2023
Das Zahn Zauberei Schnuller–Einmaleins
Teil 1 - Das richtige Material
Frischgebackene Eltern wollen alles richtig machen. Und gerade beim Thema Schnuller herrscht oft große Verunsicherung. Da wir in der Praxis oft gefragt werden, worauf beim Kauf und Nutzen von Schnullern geachtet werden soll, starten wir ab sofort unser Schnuller–Einmaleins! -
![Kinder knirschen Zahn Zauberei Kinder knirschen Zahn Zauberei]()
25.01.2023
Bruxismus: Hilfe! Mein Kind knirscht mit den Zähnen
Nächtliches Knirschen mit den Zähnen ist im Kindesalter meistens ein rein physiologischer Vorgang und bedarf in der Regel keiner Behandlung. Wir erklären, wie es zum Zähneknirschen kommt und wann es ein Fall für den Zahnarzt ist. -
![Zahnzauberei Zahnputzschule Mühldorf am Inn Zahnzauberei Zahnputzschule Mühldorf am Inn]()
26.09.2022
Was ist die Zahnputzschule?
Früh übt sich, wer ein Leben lang schöne Zähne und gesundes Zahnfleisch haben möchte. Damit schon die Kleinsten lernen, wie Zähne optimal funktioniert, gibt es in der Zahn Zauberei sogar eine Zahnputzschule. -
![Kindermund Karies Kindermund Karies]()
19.07.2022
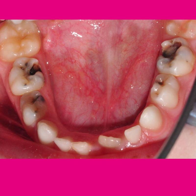
Hilfe, mein Kind hat Karies! Was tun?
Karies an Milchzähnen ist leider sehr verbreitet. Auch wenn die ersten Zähne bald ausfallen, ist eine Behandlung dringend ratsam. Wir erklären, warum. -
![kreidezähne kreidezähne]()
19.05.2022
Kreidezähne behandeln – leicht gemacht!
Kreidezähne gelten als neue Volkskrankheit. In Deutschland leidet rund jedes siebte Kind an dem Zahnschmelzdefekt. Wir von der Zahn Zauberei kennen uns mit Kreidezähnen aus. Lesen Sie in diesem Beitrag, was Kreidezähne sind, welche Symptome typisch sind und wie wir sie in unserer Praxis behandeln.

Werde Teil unseres Praxisteams!
Du hast Freude an deinem Beruf, liebst die Arbeit mit Kindern und möchtest Teil eines engagierten Teams werden? Dann bewirb dich jetzt online in nur 3 Minuten.
Barrierefrei
Unsere Praxis befindet sich im Erdgeschoss
Kostenfrei parken
Gratis Parkplatz direkt vor der Praxis
Privatsphäre
Wir behandeln ausschließlich in Einzelzimmern
Mehrsprachig
Wir sprechen Deutsch, Englisch, Russisch, Türkisch & Bayrisch
Klimatisiert
Unsere Praxisräume sind alle klimatisiert
Spaß beim Warten
Freut euch auf eine Kletterwand und einem riesiegen Spielgarten mit Trampolin und Co!
Digitalisierte Praxis
Wir arbeiten mit der neuesten Technik
Wohlfühlatmosphäre
Großzügiger Wartebereich (Indoor & Outdoor) mit Wohlfühlatmosphäre und kostenfreiem WLAN

Vereinbaren Sie jetzt einen Termin
in der Kinderzahnheilkunde!
Öffnungszeiten
Mo. – Do.: 08:00 – 12:00 Uhr & 13:00 – 18:00 Uhr
Fr.: 08:00 – 16:00 Uhr
Telefonsprechzeiten
Mo. – Fr.: 08:00 – 12:00 Uhr
Mo. - Do.: 13:00 – 18:00 Uhr + Fr.: 13:00 - 16:00 Uhr (KI Telefonassistent)












































